Р

Русская радиология - Цориев Андрей Эльдарович

@russrad 🏥 Медицина RU

Канал "Русская радиология - Цориев Андрей Эльдарович" в мессенджере Макс предлагает профессиональные материалы и новости в области радиологии. Здесь публикуются актуальные исследования, методики и полезная информация дл…

1.3K
Подписчиков
+30
Прирост за 7 дней
??
Прирост за 30 дней
🔒 Войти →
+2.3%
% роста за 7 дней
??%
Вовлечённость (ER)
🔒 Войти →
📊
Полная аналитика — войдите или попробуйте за 1 ₽
📈 Рост 30/90 дней 🌡️ Тепловая карта часов 🎯 Точный ER% 💰 Рекламный потенциал 📝 Архив постов
Попробовать 14 дней за 1 ₽ →
📊 Вовлечённость (ER)
??%
Уровень: 🔥 Очень высокий
Точный ER и сравнение с категорией — войдите
🔓 Войти и смотреть
💰 Рекламный пост
100–600 ₽
ориентировочная стоимость за пост
Охват поста (~10–25%): 132–330
CPM (за 1000 просм.): 200–500 ₽
Точный CPM, история рекламных постов и медиакит — войти и смотреть →
🔍 Аналитика канала
Канал находится в категории «Медицина», которая объединяет 4 965 публичных каналов в MAX. Прирост за 30 дней составил 542 подписчиков. В каталоге МАКСОТЕКА с 06.03.2026. Данные обновлены: 22 апреля 2026.
🔮 Прогноз роста Высокая точность (R²=0.96)
Тренд на основе 29 точек. Аудитория растёт на 8 подп./день. Прогноз на 30/90 дней — войти и смотреть →.
📈 Динамика подписчиков (30 дней)
📋 Информация о канале
ID канала-68922031084806
Username@russrad
Тематика🏥 Медицина
Подписчиков1 320
Прирост 7д+30 (2.3%)
Прирост 30д🔒 войти и смотреть →
Постов/нед
В каталоге с06.03.2026
Последний пост21.04.2026 18:58
Ссылка MAXhttps://max.ru/russrad
📄 О канале

Канал «Русская радиология - Цориев Андрей Эльдарович» (@russrad) в мессенджере MAX — это специализированная площадка для глубокого погружения в мир радиологии. Основной фокус сделан на предоставлении профессиональных материалов, включая актуальные научные исследования, обзоры современных диагностических методик и клинические случаи. Контент ориентирован на практикующих врачей-рентгенологов, радиологов, студентов медицинских специальностей и всех, кто стремится расширить свои знания в этой важной области медицины.

Канал представлен в каталоге МАКСОТЕКИ с 06.03.2026 и объединяет сообщество специалистов, заинтересованных в качественном обмене информацией. Подписчики получают доступ к структурированным и проверенным данным, что помогает в ежедневной профессиональной деятельности и непрерывном образовании. Это прямой источник экспертной информации, позволяющий оставаться в курсе ключевых тенденций и разработок в радиологии.

Последних постов на странице: 5 В архиве: 100 постов Свежий пост: 3 дн. назад ~0.77 постов/сут. (30 дн.)
Плексиформная кожная нейрофиброма у мужчины 34 лет с известным диагнозом Нейрофиброматоз первого типа. В отличие от типичных мишеневидных поражений, идущих вдоль крупных нервов при глубоких плексиформных нейрофибромах, поверхностные плексиформные нейрофибромы при НФ1, как правило, асимметричны, имеют немишеневидную структуру, не обладают узловатой или фасцикулярной морфологией и поражают кожу, а не только клетчатку. У этого пациента, как он говорит, шишка на внутренней поверхности левого бедра в течение многих лет, не меняется.
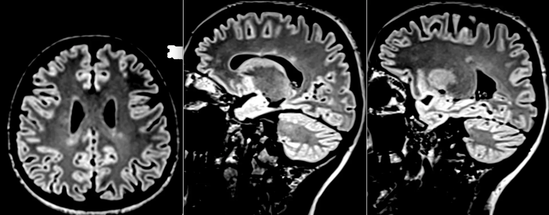
Клинический случай кавернозной мальформации, ассоциированной с венозной аномалией развития (ВАР). Следует напомнить, что ВАР часто сочетаются с каверномами, однако точные статистические данные не привожу, чтобы простимулировать самостоятельный поиск информации и закрепление знаний. Клиническая симптоматика у данного пациента отсутствует, что является типичным сценарием для подобных находок. Диагноз установлен случайно.
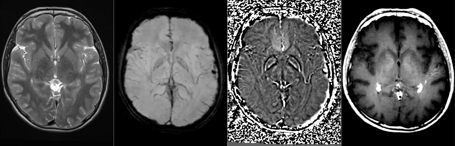
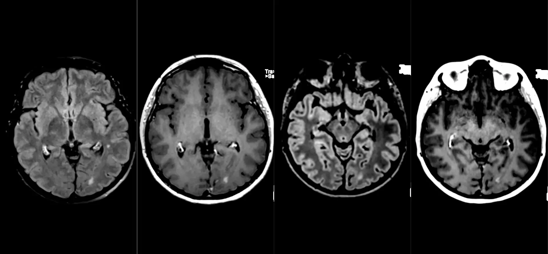
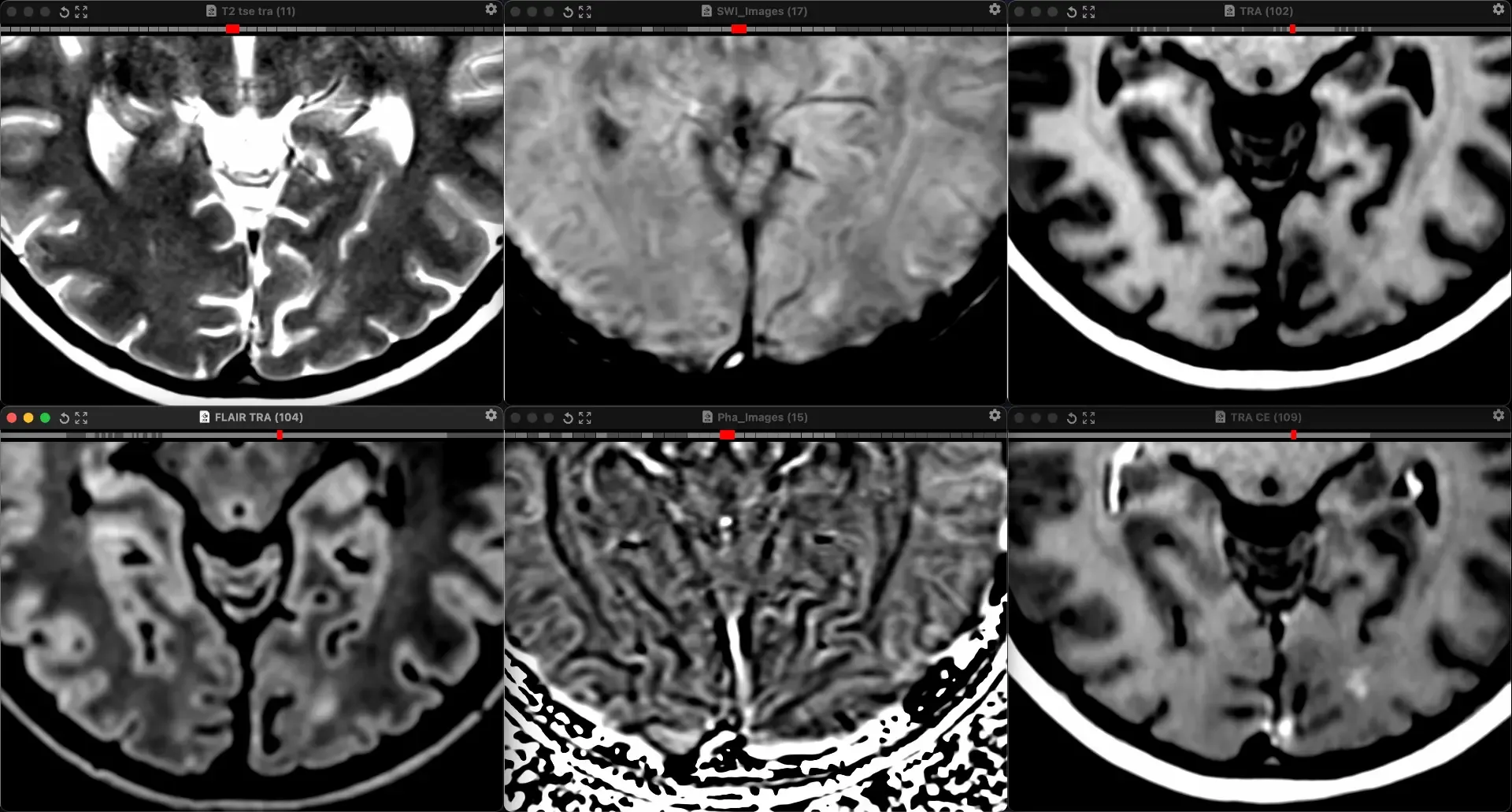
Женщина 32 года. Больной считает себя с 2024 г, когда стала отмечать онемение угла рта. Со слов пациентки ей был предварительно выставлен диагноз - РС, но дополнительных методов обследования и специфического лечения не проводилось. В настоящее время жалоб нет. В исследовании от октября 2024 отмечался очаг в левой затылочной доле с выраженным контрастированием, в настоящее время этот же очаг отмечается с сохраняющимся контрастированием. Формально - есть выполнение критериев диссеминации и в пространстве (юкстакортикальный и перивентрикулярный очаги есть), и во времени (есть усиливающиеся и неу…
Смотреть все посты в MAX 📊 Войдите для полного архива
📅 График публикаций
Посты Репосты
25.03
27.03
30.03
31.03
02.04
03.04
04.04
07.04
08.04
10.04
12.04
13.04
14.04
16.04
18.04
Пиковое время
Четверг 14:00
Публикаций
21
Среднее/день
1.4
16.04
18.04
Пиковое время
Четверг 14:00
Публикаций
3
Среднее/день
1.5
30.10
01.11
03.11
04.11
07.11
08.11
09.11
14.11
16.11
20.11
23.11
28.11
05.12
09.12
10.12
11.12
13.12
15.12
21.12
24.12
27.12
28.12
29.12
30.12
31.12
01.01
06.01
07.01
09.01
10.01
13.01
15.01
20.01
22.01
27.01
30.01
02.02
11.02
12.02
13.02
16.02
17.02
18.02
19.02
20.02
26.02
28.02
02.03
09.03
12.03
14.03
16.03
17.03
18.03
20.03
21.03
23.03
25.03
27.03
30.03
31.03
02.04
03.04
04.04
07.04
08.04
10.04
12.04
13.04
14.04
16.04
18.04
Пиковое время
Четверг 14:00
Публикаций
100
Среднее/день
1.4
🌡 Тепловая карта публикаций ≈60 дней, МСК
0 1 2 3 4 5 6 7 8 9 10 11 12 13 14 15 16 17 18 19 20 21 22 23 Пн
Вт
Ср
Чт
Пт
Сб
Вс
🏆 Популярные посты

Топ-5 текстовых постов по лайкам и просмотрам.

❗️1⃣3⃣0⃣0⃣❗
♥ — · 1 244 просм.
Клинический случай кавернозной мальформации, ассо…
♥ — · 1 139 просм.
Плексиформная кожная нейрофиброма у мужчины 34 ле…
♥ — · 806 просм.
Просто хочу напомнить, что аномалии жёлчного пузы…
♥ — · 4 533 просм.
Очередной экземпляр из коллекции расширенных пери…
♥ — · 4 247 просм.
И ещё одна предполагаемая шваннома заднего средос…
♥ — · 4 167 просм.
Пациент 27 лет. Две недели назад ударно-волновая …
♥ — · 4 018 просм.
Ещё один прекрасный пример стойкости позвонков, в…
♥ — · 3 737 просм.
Очень интересные проявления на #МРТ в матке: видн…
♥ — · 6 357 просм.
Хоть и однотесловик, но ручку лейки (ведра) видно…
♥ — · 6 271 просм.
С новой годой, дорогие подпищкщ, с новой щастьей …
♥ — · 6 266 просм.
Христос родися, братья и сестры! Доброго праздник…
♥ — · 6 237 просм.
- Любая работа, которую вы сегодня поручаете ИИ, …
♥ — · 6 207 просм.
👁 Охваты публикаций
Просмотры последних 40 постов из архива. Среднее: 3 689 просм./пост.
5 447
26.02
5 434
26.02
5 460
26.02
5 366
28.02
5 356
02.03
5 422
02.03
5 233
09.03
5 201
12.03
5 067
14.03
4 761
16.03
4 733
17.03
4 830
17.03
4 668
17.03
4 699
17.03
4 674
18.03
4 326
20.03
4 344
21.03
4 167
23.03
4 533
23.03
4 247
25.03
4 018
27.03
3 737
30.03
3 734
31.03
3 328
02.04
3 076
03.04
2 998
03.04
2 989
04.04
3 006
04.04
2 575
07.04
2 496
07.04
2 402
08.04
1 978
10.04
2 550
10.04
1 780
12.04
1 723
13.04
1 960
14.04
2 044
14.04
1 244
16.04
1 139
16.04
806
18.04
📈
Расширенная статистика — войдите или попробуйте
История 90 дней · Сравнение с категорией · Экспорт данных · Медиакит
Попробовать 1 ₽ →
🔍 Детектор накрутки
72 из 100
Высокая органика
Индекс рассчитан по вариативности просмотров…
Вариация просмотров
0.27
Охват от аудитории
15%
Скачки подписчиков
2.1×
🔍
Детектор накрутки
Индекс органики 0–100, вариация просмотров, скачки аудитории — войдите для просмотра
🔓 Попробовать 14 дней за 1 ₽
📣 Рекламный паспорт
Рекламных постов
8
Средний охват
54K
Буст-коэффициент
2.4×
Апрель 2026
3 рекл.
Март 2026
3 рекл.
📣
Рекламный паспорт
История рекламных интеграций, средний охват рекламного поста и буст-коэффициент — войдите для просмотра
🔓 Попробовать 14 дней за 1 ₽
📋 Похожие каналы — 🏥 Медицина
Биохакеры Здоровье Биохакинг
Биохакеры Здоровье Биохакинг
@biohakrs
116K
ЗдравКонтроль
ЗдравКонтроль
@martynovevgueni
104.7K
Будь Здоров💊 Домашний доктор
Будь Здоров💊 Домашний доктор
@VCqzTTSV4MUwMzBi
102.3K
Микерина. Роды? Зови акушера!
Микерина. Роды? Зови акушера!
@mikeryna_sashaa
80K
Азиатское здоровье
Азиатское здоровье
@club160
63.3K
Мир открыток❤️открытки поздравления юбилей детям внуку сыну внучке дочери бесплатно
Мир открыток❤️открытки поздравления юбилей детям внуку сыну внучке дочери бесплатно
@volgograd_life_media
61.4K
Вход / Регистрация
Полная аналитика каналов MAX
Тепловые карты, история роста 90 дней, вовлечённость, рекламный потенциал — всё в одном месте. 14 дней бесплатно за 1 ₽.
Получить доступ за 1 ₽ Уже есть аккаунт? Войти →
Заявка в МАКСОТЕКА
📌 Данные подтянутся автоматически по ссылке на канал. Логотип необязателен — ускоряет проверку.
🖼 Перетащите картинку или выберите файл
PNG, JPG, WEBP · до 5 МБ
captcha

Нажимая кнопку, вы соглашаетесь на обработку данных.
Проверим и добавим канал в течение суток.