D

Doctor Endoscopy

@endoscopy_surgery 🏥 Медицина RU

🔬Щербаченя Никита Александрович, врач-эндоскопист. 📎Запись на приём: https://docmed.ru/vrachi/nikita-shcherbachenya/ 👨‍💻Онлайн-консультации: https://express.doctor/ru/doctors/164876?utm_source=docref&utm_medium=referral…

2.1K
Подписчиков
+88
Прирост за 7 дней
??
Прирост за 30 дней
🔒 Войти →
+4.3%
% роста за 7 дней
??%
Вовлечённость (ER)
🔒 Войти →
📊
Полная аналитика — войдите или попробуйте за 1 ₽
📈 Рост 30/90 дней 🌡️ Тепловая карта часов 🎯 Точный ER% 💰 Рекламный потенциал 📝 Архив постов
Попробовать 14 дней за 1 ₽ →
📊 Вовлечённость (ER)
??%
Уровень: 🔥 Очень высокий
Точный ER и сравнение с категорией — войдите
🔓 Войти и смотреть
💰 Рекламный пост
100–600 ₽
ориентировочная стоимость за пост
Охват поста (~10–25%): 213–533
CPM (за 1000 просм.): 200–500 ₽
Точный CPM, история рекламных постов и медиакит — войти и смотреть →
🔍 Аналитика канала
Канал находится в категории «Медицина», которая объединяет 4 965 публичных каналов в MAX. Аудитория канала в 2.9 раза превышает средний показатель по категории «Медицина» (746 подп. в среднем). Прирост за 30 дней составил 794 подписчиков. В каталоге МАКСОТЕКА с 06.03.2026. Данные обновлены: 23 апреля 2026.
🔮 Прогноз роста Высокая точность (R²=0.93)
Тренд на основе 29 точек. Аудитория растёт на 30 подп./день. Прогноз на 30/90 дней — войти и смотреть →.
📈 Динамика подписчиков (30 дней)
📋 Информация о канале
ID канала-70592461742096
Username@endoscopy_surgery
Тематика🏥 Медицина
Подписчиков2 133
Прирост 7д+88 (4.3%)
Прирост 30д🔒 войти и смотреть →
Постов/нед
В каталоге с06.03.2026
Последний пост20.04.2026 19:31
Ссылка MAXhttps://max.ru/endoscopy_surgery
📄 О канале

Канал @endoscopy_surgery ведёт врач-эндоскопист Никита Александрович Щербаченя. Это профессиональный ресурс, посвящённый эндоскопической диагностике и хирургии. Основная цель канала — информировать и предоставлять прямой доступ к квалифицированной медицинской помощи в этой узкой специализации.

Через канал можно организовать как очный приём, так и дистанционную консультацию. Для записи на очный осмотр доступна специализированная платформа, а для оперативного решения вопросов предусмотрена услуга онлайн-консультаций. Это делает канал практичным инструментом для пациентов, нуждающихся в экспертном мнении по вопросам гастроскопии, колоноскопии и других эндоскопических процедур.

Последних постов на странице: 5 В архиве: 44 постов Свежий пост: 3 дн. назад ~0.73 постов/сут. (30 дн.)
🎬 видео
Энтеробиоз 🪱 ✔️Возбудитель энтеробиоза-острица (Enterobius vermicularis), относящаяся к типу Nemathelminthes классу Nematoda отряду Rhabditida семейству Oxyuridae. 🐛Тело взрослых гельминтов веретенообразное; длина самки 9-12 мм, самца-3-5 мм. У самки хвостовой конец заострен, у самца-спирально загнут на вентральную сторону. ✔️Зрелая самка обычно паразитирует в слепой кишке. В ночное время, когда анальный сфинктер расслабляется, она самостоятельно выходит через анальное отверстие и в перианальных складках откладывает от 5000 до 15 000 яиц, после чего погибает. 🥚Содержащийся в яйце зародыш разв…
✅Про рак пищевода. 🌍Мировая статистика: 📌11ое место по заболеваемости среди ЗНО 📌7ое место по смертности   ⚠️Интересные факты. 👁️Ранний плоскоклеточный рак пищевода пропускается в 40% случаев. 🦠Инфекция Helicobacter pylori (H. pylori) обратно коррелирует с риском развития аденокарциномы пищевода. С другой стороны, многократное химическое и физическое раздражение слизистой оболочки пищевода является фактором риска развития плоскоклеточного рака пищевода. ⚠️Метаанализ 35 исследований не выявил значимой корреляции между инфекцией H. pylori и плоскоклеточным раком пищевода в общей популяции. ⚠️Ме…
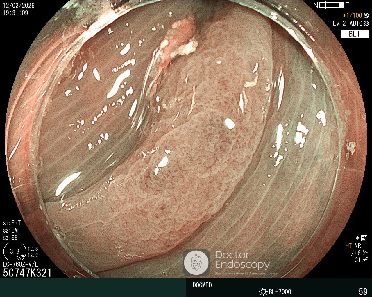
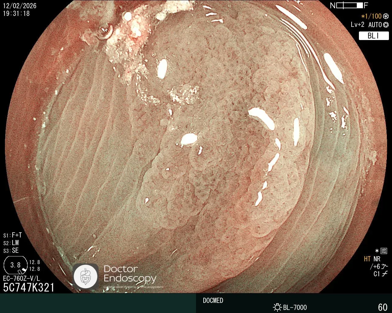
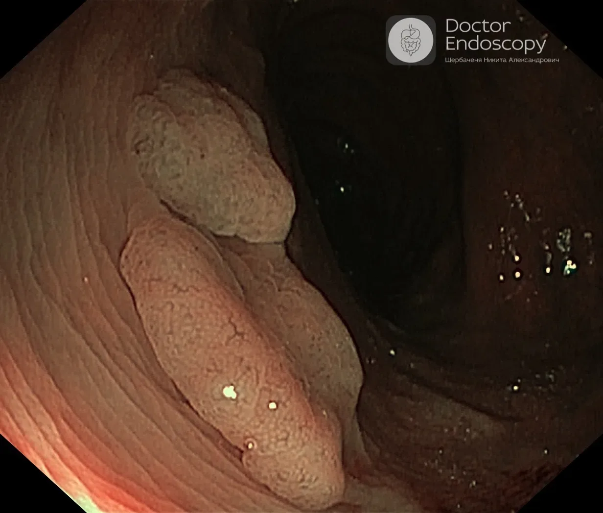
🦷 Итак, как и обещал, поговорим про зубчатые образования. 📌B 1990г T. Longacre C. Fenoglio-Preiser впервые предложили термин «зубчатая аденома». В настоящее время мы используем термин «зубчатое образование на широком основании» (ЗОШО) без дисплазии или с дисплазией. 📌ЗОШО имеет потенциал малигнизации, так как является этапом «зубчатого пути» канцерогенеза. 📌По этому пути развивается до 30% спорадических колоректальных раков. 📌Частота ЗОШО-2-20% от всех колоректальных полипов (3-9% от всех зубчатых полипов). 📌ЗОШО чаще встречаются в правых отделах: в 75-90% проксимальнее селезёночного изгиба. …
🎬 видео
Сегодня у меня вот такое настроение 🎸💔 Немного разбавлю эндоскопические посты. А завтра поговорим про зубчатые образования, я подготовил для вас немного научных фактов про зубчатые поражения толстой кишки. Всем доброй ночи.
🎬 видео
✅ Теперь вопрос про эндоскопическую диагностику. Первостепенная задача эндоскописта-найти участок дисплазии и выполнить из него биопсию. После чего, как правило, участок дисплазии удаляется методом подслизистой диссекции (этапы операции видны на видео). ⚠️Однако после эндоскопического удаления гистологический диагноз был изменен на дисплазию высокой степени (в 16,7%) или аденокарциному (в 6,9%) при изначально диагностированной дисплазии низкой степени с помощью биопсии. Вот ещё одно исследование: ⚠️В 48,7% случаев наблюдалось расхождение между результатами биопсии и ESD. В 40,4% случаев эндос…
Смотреть все посты в MAX 📊 Войдите для полного архива
📅 График публикаций
Посты Репосты
24.03
29.03
31.03
01.04
03.04
06.04
08.04
10.04
11.04
12.04
13.04
14.04
15.04
17.04
19.04
Пиковое время
Вторник 11:00
Публикаций
22
Среднее/день
1.5
17.04
19.04
Пиковое время
Вторник 11:00
Публикаций
2
Среднее/день
1
11.02
12.02
14.02
22.02
25.02
05.03
06.03
08.03
13.03
17.03
18.03
21.03
22.03
23.03
24.03
29.03
31.03
01.04
03.04
06.04
08.04
10.04
11.04
12.04
13.04
14.04
15.04
17.04
19.04
Пиковое время
Вторник 11:00
Публикаций
44
Среднее/день
1.5
🌡 Тепловая карта публикаций ≈60 дней, МСК
0 1 2 3 4 5 6 7 8 9 10 11 12 13 14 15 16 17 18 19 20 21 22 23 Пн
Вт
Ср
Чт
Пт
Сб
Вс
🏆 Популярные посты

Топ-5 текстовых постов по лайкам и просмотрам.

✅Про рак пищевода. 🌍Мировая статистика: 📌11ое мес…
♥ — · 1 956 просм.
✅Санация и некросеквестрэктомия после дренировани…
♥ — · 8 123 просм.
Классический аутоиммунный гастрит. Признак тускло…
♥ — · 8 026 просм.
Синдром зубчатого полипоза (СЗП). Немного Европей…
♥ — · 7 259 просм.
✅ Пациентка 42х лет обратилась ко мне в клинику D…
♥ — · 6 856 просм.
2️⃣ Пациент, 49 лет, обратился с функциональными …
♥ — · 6 354 просм.
✅Кейс с дежурства. 📝Молодой мужчина, 24 года. Жал…
♥ — · 9 603 просм.
🦠🚫 Признаки отсутствия HP-гастрита. А точнее, при…
♥ — · 9 452 просм.
Всем привет! 👋 ⛓️‍💥Сегодня хочу выложить очередно…
♥ — · 9 427 просм.
Признак «тусклой, двойной линии» АКА признак Щерб…
♥ — · 9 216 просм.
Отличный пост от Леонида Владимировича Кима. Подп…
♥ — · 9 191 просм.
👁 Охваты публикаций
Просмотры последних 40 постов из архива. Среднее: 4 686 просм./пост.
1 550
22.02
1 631
25.02
1 419
05.03
1 336
06.03
1 268
06.03
1 124
06.03
1 524
08.03
1 643
13.03
1 884
17.03
9 452
17.03
9 427
17.03
9 603
17.03
9 191
18.03
9 216
18.03
8 953
21.03
8 642
22.03
8 412
23.03
8 229
23.03
8 073
24.03
8 123
24.03
8 294
24.03
8 026
29.03
316
31.03
7 259
01.04
6 856
03.04
6 153
06.04
6 354
06.04
5 563
08.04
4 645
10.04
4 717
11.04
4 011
12.04
160
13.04
158
13.04
173
13.04
2 918
14.04
2 959
14.04
2 598
14.04
2 448
15.04
1 956
17.04
1 161
19.04
📈
Расширенная статистика — войдите или попробуйте
История 90 дней · Сравнение с категорией · Экспорт данных · Медиакит
Попробовать 1 ₽ →
🔍 Детектор накрутки
72 из 100
Высокая органика
Индекс рассчитан по вариативности просмотров…
Вариация просмотров
0.27
Охват от аудитории
15%
Скачки подписчиков
2.1×
🔍
Детектор накрутки
Индекс органики 0–100, вариация просмотров, скачки аудитории — войдите для просмотра
🔓 Попробовать 14 дней за 1 ₽
📣 Рекламный паспорт
Рекламных постов
8
Средний охват
54K
Буст-коэффициент
2.4×
Апрель 2026
3 рекл.
Март 2026
3 рекл.
📣
Рекламный паспорт
История рекламных интеграций, средний охват рекламного поста и буст-коэффициент — войдите для просмотра
🔓 Попробовать 14 дней за 1 ₽
📋 Похожие каналы — 🏥 Медицина
Биохакеры Здоровье Биохакинг
Биохакеры Здоровье Биохакинг
@biohakrs
116K
ЗдравКонтроль
ЗдравКонтроль
@martynovevgueni
105K
Будь Здоров💊 Домашний доктор
Будь Здоров💊 Домашний доктор
@VCqzTTSV4MUwMzBi
102.3K
Микерина. Роды? Зови акушера!
Микерина. Роды? Зови акушера!
@mikeryna_sashaa
80K
Азиатское здоровье
Азиатское здоровье
@club160
63.3K
Мир открыток❤️открытки поздравления юбилей детям внуку сыну внучке дочери бесплатно
Мир открыток❤️открытки поздравления юбилей детям внуку сыну внучке дочери бесплатно
@volgograd_life_media
61.4K
Вход / Регистрация
Полная аналитика каналов MAX
Тепловые карты, история роста 90 дней, вовлечённость, рекламный потенциал — всё в одном месте. 14 дней бесплатно за 1 ₽.
Получить доступ за 1 ₽ Уже есть аккаунт? Войти →
Заявка в МАКСОТЕКА
📌 Данные подтянутся автоматически по ссылке на канал. Логотип необязателен — ускоряет проверку.
🖼 Перетащите картинку или выберите файл
PNG, JPG, WEBP · до 5 МБ
captcha

Нажимая кнопку, вы соглашаетесь на обработку данных.
Проверим и добавим канал в течение суток.